本文へスキップ

○○町の○○○科クリニック。三浦歯科医院です。

症 例topics

information症例7

  • 初 診  2018年9月6日
    年 齢  51歳 女性
    主 訴  入れ歯が痛くて咬めないので何とかして欲しい。

    治療方針 保存可能な歯は残して、
         全顎的な補綴治療を行う。
         歯周治療を行い
         定期的なメンテナンスをする。
  • 補綴治療終了日 
     2018年10月17日
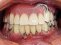
  • 症例写真

    ビフォー1枚
    上下の天然歯が互いにすれ違ってかみ合っているために、入歯を外すと下の犬歯が上の歯茎に当たっていました。


 アフター2枚
  (きれいに並んだ上下の白い歯。
          口元に自信が回復しました。)






 ※症例に興味のある方は、PCサイトをご覧ください。











症例-13
症例-14
症例-15
症例-16