本文へスキップ

○○町の○○○科クリニック。三浦歯科医院です。

症 例topics

information症例11

  • 初 診  2020年1月8日
    年 齢  49歳 女性
    主 訴  歯が悪く食物を咬めないので、
          咬めるようにして欲しい。
    要 望  ホームページで治療が終了になった
          患者さんのようにきれいな歯を入れて欲しい。
         

    治療方針 歯周病の治療と並行して
           保存不可能な歯は抜歯し、
           全顎補綴治療を行う。
    補綴治療終了日 2020年3月24日 
               現在3か月に1回メンテナンス中
               
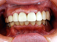
  • 症例写真

    ビフォー
    以前に治療された歯が十分に機能を発揮しておらず、物が上手く咬めない状態 に陥っていました。


 アフター
 わずか2か月半で上下顎に全顎補綴治療が終わり、
 快適な食生活を回復できる ようになりました。
 左下臼歯3本は部分入れ歯を装着しています。



 ※症例に興味のある方は、PCサイトをご覧ください。











症例-13

症例-15
症例-16