ビフォー・アフター写真・・・症例12
○症例写真の詳細
(写真1) (写真2)

(写真1) ビフォー写真 正面
残根状態の歯ばかりで歯石の沈着も著しい。食べ物もほとんど丸飲み状態で、
栄養状態も不良で顔色が大変悪かった。
残根はほとんど保存して全顎にわたる補綴 治療を行いました。
(写真2)治療中の写真 正面
ほぼ毎日、数時間にわたる治療を行った結果、
治療開始から8日後にとにかく上下にレジン製の仮歯を装着して物が噛める状況にしました。
(写真3) (写真4)

(写真3)治療中の写真 右側
初診時に、咬み合わせが不良のために起きていた顎関節症も、仮歯を早期に装着することにより解消されて、
大変楽になったとのことであった。
(写真4)治療中の写真 左側
患者の強い要望により、取り外しの入れ歯ではなくフルマウスBrにより全顎補綴治療を行うことにしました。
(写真5) (写真6)

(写真5) ビフォー写真 右側
咬み合わせが崩壊状態でも、わずかに残った残根同士を器用にかみ合わせて、
何とか細々と物を咬んでいたようでした。
しかし、これでは食べ物を咀嚼することが出来ません。
(写真6)アフター写真 右側
上下顎にフルマウスBrが装着されています。
残根でもきちんと治療をしてみんなでスクラムを組ませるように連結してあげれば、
まだ十分に歯としての機能を果たすことが出来ます。
(写真7) (写真8)

(写真7) ビフォー写真 左側
見ての通り、左側では物を全く咬むことはできていませんでした。
はじめは取り外し式の部分入れ歯もやむなしかと思いましたが、
残根が思ったよりもしっかりしていたので、Brによる修復が出来ました。
(写真8)アフター写真 左側
今まではほとんど丸飲みだった食事も美味しくいただくことが出来るようになりましたと、
大変喜んでおられました。奥歯で物を咬む感覚がこうだったんだと、感動されていました。
これからは、治療した歯がいつまでも悪くならないようにメンテナンスをきちんとしていきましょうねと話したことでした。
(写真9) (写真10)

(写真9) 下顎のフルマウスBrセットの時の写真
残根だった歯牙を利用して根管治療をしたのちに、金属製の心棒(メタルコア)をセメントで合着します。
支台歯形成・印象採得をしたのちに、フルマウスBrを装着します。
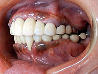
(写真10)アフター写真 正面
初診時の惨憺たる口腔内が、患者さんの協力もあり、
39日間(来院回数18回)できれいな白い歯に生まれ変わりました。
患者さんの満足度は言うまでもなく、これで美味しい食事が出来楽しい会話ができるような口元になりました。
下記のボタンを選んで、治療症例に進んでください
![]()
![]()
![]()
〒802-0812
北九州市小倉南区西水町5-21
TEL 093-931-5602